-弥散加权成像(DWI)的应用
磁共振新技术
-弥散加权成像(DWI)的应用
DWI即磁共振弥散加权成像,是利用水分子的弥散运动特性进行成像的。DWI使MRI对人体的研究深入到细胞水平的微观世界,反映着人体组织的微观几何结构以及细胞内外水分子的转运等变化,是目前惟一能够检测活体组织内水分子扩散运动的无创方法。
DWI上水分子随机微观运动的大小用弥散系数来描述,弥散系数越大,代表分子弥散运动越强。细胞膜或大分子蛋白等生物组织中的天然屏障使得水分子的弥散受到限制,称为受限弥散。弥散系数直接反映组织的弥散特性,为衡量生物组织中分子弥散程度的绝对值。
水分子在细胞外间隙内由各种动力驱使下的空间移动称表观弥散;通常应用表观弥散系数(ADC)标示弥散的大小,即水分子移动的自由度;通常情况下,每一种组织均有自己特有的表观系数,同一种组织在不同的病理情况下,亦能导致弥散系数发生改变。
DWI图:弥散受限组织和长T2组织均表现为高信号
ADC图:弥散程度高的组织信号高,弥散受限组织表现为低信号。
B值-为弥散加权程度(弥散敏感系数)受灌注影响大,b值越大,越能够较好的反映组织内水分子的弥散运动,即对水分子运动的检测越敏感。通常取b=0和b=1000。

b=0 b=1000
DWI临床应用
一、中枢神经系统
1、脑血管疾病:
①超早期脑梗死的诊断
②缺血半暗带的检出:DWI与灌注成像(PWI)不匹配区域定义为缺血半暗带

2、感染性病变与肿瘤性病变鉴别诊断
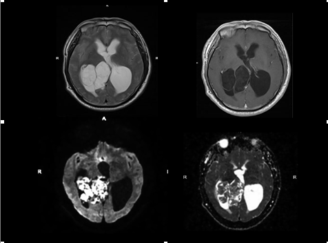
①脑脓肿:脓腔于DWI呈均匀高信号,ADC低信号--弥散受限,与脓液的高粘滞度和脓肿的多细胞性有关。
②胶质母细胞瘤:中心坏死于DWI呈均匀低信号,ADC高信号--弥散不受限,与肿瘤坏死液化粘滞度较低有关。


3、胆脂瘤与蛛网膜囊肿鉴别:胆脂瘤含大量肌固醇晶体和脂肪会限制水分了的弥散运动,从而DWI为高信号,ADC为低信号;蛛网膜囊肿含脑脊液样液体,弥散不受限,从而DWI为低信号,ADC为高信号;


3、脱髓鞘病变
①多发性硬化(MS):急性期DWI呈高信号,慢性病灶呈等信号。
②能够可靠鉴别脱髓鞘病变和梗死灶。
二、前列腺
DWI及ADC在前列腺良性疾病及恶性肿瘤鉴别诊断的应用

T2WI DWI ADC
注:此为前列腺Ca患者的T2WI、DWI及ADC尤其是 ,T2WI显示为前列腺外周带低信号,DWI示病灶较邻近正常组织信号高(弥散受限),ADC此区域为明显低信号-恶性肿瘤癌细胞核增大,胞浆减少,核浆比增大,导致其扩散受限,从而DWI呈高信号影,ADC值明显降低。
三、全身DWI技术(类“PET”)
1、全身DWI主要用于血液系统肿瘤的全身评价,血液系统恶性肿瘤在全身DWI上可表现为骨髓弥漫性水分子活动受限;全身DWI有助于晚期转移灶的发现。
2、全身其他部位原发肿瘤筛查,转移瘤筛查,淋巴结转移筛查,恶性肿瘤分期。
|
骨髓瘤患者全身骨质多发破坏 |
|
肝脏多发转移并双侧颈部、腋窝淋巴结多发转移 |



甘公网安备 62010002000586号