容积旋转调强放射治疗
容积旋转调强放射治疗(Volumetric Intensity Modulated Arc Therapy, VMAT):容积旋转调强放射治疗是在图像引导放射治疗 (IGRT)的基础上成功研发,集新型高精尖加速器与逆向优化治疗计划设计软件、精密三维剂量验证设备于一身的放射治疗技术。

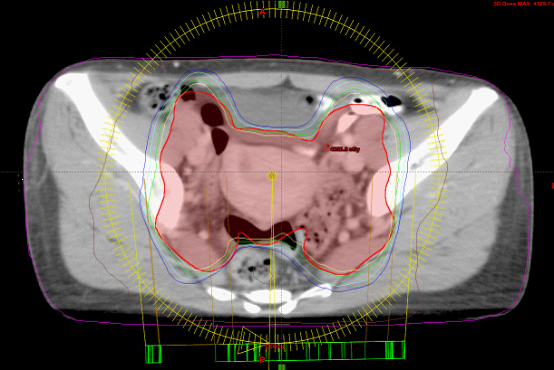
作为目前国际上最先进的放射治疗技术,VMAT具有"快、准、优"的特点。在时间方面,传统放射治疗过程需15-30分钟,而该技术将整个治疗过程缩短至2-6分钟,有效提高肿瘤控制率;在准确程度上,该技术可在360度多弧任何角度范围内旋转照射,比传统治疗方式照射范围更大。同时,该技术还能调整控制放射线在肿瘤上的强度,每次治疗时可立即取得三维电脑断层扫瞄影像并做精准治疗定位;此外,VMAT治疗技术不仅让放射线随着肿瘤厚度调节强度,还能根据肿瘤体积各部位的厚薄不同,给予最适合的放射线强度,同时避开在肿瘤中间或凹陷处的如眼球、脊髓等重要危及器官,增加肿瘤控制率,降低正常组织并发症,减少副作用。
VMAT治疗技术在放射治疗前、放射治疗中能实时对肿瘤及肿瘤周围正常器官进行CT扫描监控,根据肿瘤及器官位置的变化、肿瘤的厚度、体积等调整治疗条件,使放射线紧紧跟踪肿瘤进行精准治疗。此外,该项技术还能随时对肿瘤放射剂量的精度进行调整,克服呼吸运动、器官蠕动及日常摆位误差,人体重要器官和组织能得到更好的保护。







甘公网安备 62010002000586号