兰大二院肿瘤中心成功完成一例复杂腹膜后肿瘤切除术
近日,我院肿瘤中心陈昊主任团队成功完成1例复杂腹膜后肿瘤切除术。手术的成功实施,体现了我院腹膜后肿瘤救治的技术,使高难度、高挑战、高风险的腹膜后肿瘤患者得到更为安全有效的救治。术后,患者恢复良好,现已康复出院。
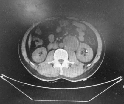
患者,男性,49岁,因体检行腹部彩超显示腹主动脉瘤,伴腰腹部困胀,无寒战、高热,恶心、呕吐,无腹痛、腹胀,无胸闷、气短,无便秘、腹泻等症状。一周后,患者收治于我院血管外科。入院后完善相关检查,进行CTA后显示腹主动脉左旁可见一类圆形低密度占位,大小约6cm病灶主体呈囊性,神经鞘瘤囊变可能,之后患者转入肿瘤外科。
术前对患者进行了精确的术前评估,为明确肿瘤与周围组织关系,并进一步制定手术方案,在与患者及其家属的同意下,利用3D打印技术,明确了肿物与周围组织的关系及其血供。经过全科医师的讨论,肿瘤解剖位置靠近腹主动脉,腹腔镜在后腹膜位置操作困难,难以及时对大血管的损伤进行止血,为避免术中大出血,而造成难以挽救的结局,决定以剖腹方式进行手术。
手术中,经腹腔脏器探查后由于发现肿瘤与腹主动脉及其血管分支紧密,在麻醉医生、手术护士默契配合下,果断决定从侧腹膜逐层解剖,待术野清晰后,可见肿瘤位于腹主动脉与左肾之间,髂总动脉上方,大小约6*6*6cm。通过游离周围组织,使用可吸收血管夹阻断肿瘤周围血供,沿肿瘤周围解剖至完整剥离肿瘤,成功完成整台手术。术后肿瘤组织送检病理,病理结果示:腹膜后神经鞘瘤,囊性变明显,肿瘤周围见淋巴结2枚,呈反应性增生。
在精准医学提出后,我院肿瘤中心把“精准医学”的概念与临床实践相结合,从术前评估、手术规划、术中操作、术后管理以及预后评判等方面入手,力求做到更精确、更精密、更精细、更精良、更精准,进一步提升我省肿瘤诊治水平。近期,我院也将建立肿瘤诊治多学科MDT团队,为更多肿瘤患者提供更加优质的医疗服务。

图1 红色圈标记处为肿瘤

图2 蓝色为肿瘤

图3 3D打印模型

图4 切除后的肿瘤
来源:肿瘤中心
编辑:新闻科 赵梅娟
相关阅读
- 上一篇:兰大二院普外科5病区成功完成我院首例腔镜下甲状腺微小癌根治术[ 09-28 ]
- 下一篇:兰大二院护理专科联盟第一期培训班圆满结业[ 09-28 ]










甘公网安备 62010002000586号