兰大二院核医学科与儿童医院小儿心血管科联合开展SPECT-CT心肌灌注显像
近日,我院核医学科联合儿童医院小儿心血管科,应用先进的新购入设备SPECT-CT,共同开展了10余例心肌血流灌注显像在儿童心脏疾病中的应用。SPECT-CT心肌灌注显像对于各种原因引起的儿童心肌缺血及心功能异常判断具有重要意义。据悉,最小的受检患儿月龄为7个月,在全国属于罕见低龄受检者。此技术的开展有利于更好地服务患者并为临床提供有价值的诊断信息。
核医学心肌血流灌注显像是应用核医学特有显像技术,提供心肌的血流灌注情况及心肌细胞功能状态。其最有价值的临床应用是与负荷试验及硝酸甘油介入试验相结合,评价心肌血供。其在冠心病诊断、危险度分级、预后判断及其他心脏疾患如心肌炎、心肌病等诊治方面都具有重要作用。
众所周知,病毒性心肌炎是小儿较常见心脏疾病,因其继发的心律失常及心肌血供异常是引发儿童猝死的主要原因之一,目前缺乏特异性检查手段。心肌血流灌注显像以安全可靠、无创、重复性高等优点,对小儿心肌炎诊断、疗效评估、预后判断等方面提供了重要参考价值。

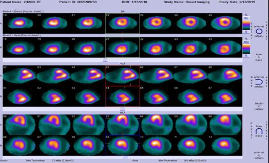
1岁受检患儿SPECT-CT心肌灌注显像
相关阅读
- 上一篇:儿童医院康复医学科完成悬吊训练系统和全方位密集训练系统使用培训[ 02-25 ]
- 下一篇:甘肃省危重新生儿救治中心落户我院[ 02-26 ]










甘公网安备 62010002000586号