兰大二院顺利完成省内首例NeoVas生物可吸收支架手术
4月29日,我院心血管内科完成了省内首例NeoVas生物可吸收支架植入术,新技术的开展也为广大冠心病患者提供了一种新的非药物治疗选择,同时,也标志着我院冠心病治疗水平迈上了新台阶。
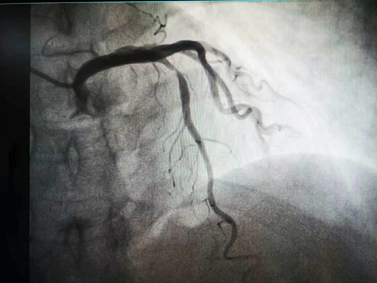
该患者为女性,年龄64岁,患者因“不稳定性心绞痛”多次就诊,饱受病痛折磨。本次就诊我院后,完善冠状动脉造影示LAD近段80%重度狭窄,在副院长白锋带领下,治疗团队严格把握适应症,和患者反复沟通后,最终于病变处成功植入3.5*21mmNeoVas生物可吸收支架,手术准备充分,术中严格执行PSP技术,术后经IVUS证实支架释放完美。生物可吸收支架是目前全球的研究热点,给冠心病患者治疗带来了新希望,避免金属植入物永存体内,恢复血管舒缩功能,避免金属牢笼禁锢,利于再次介入治疗,实现从“血管再通”到“血管再造”的新蜕变。






相关阅读
- 上一篇:震撼!天南海北兰大人同唱一首歌![ 04-30 ]
- 下一篇:【图片新闻】兰大二院“组团式”帮扶舟曲县医疗队工作纪实[ 04-30 ]










甘公网安备 62010002000586号