兰大二院完成省内首例左心耳双伞Kissing封堵术
1月6日,在兰大二院副院长白锋教授和心内一科吴强副主任医师带领下,心血管内科一病区顺利完成甘肃省内首例心房颤动患者左心耳双伞Kissing封堵。此手术技术难度大,目前国内仅有个别顶尖医院完成约10例。该手术的完成标志着我院在心房颤动的左心耳封堵治疗方面走到了国内的前列。
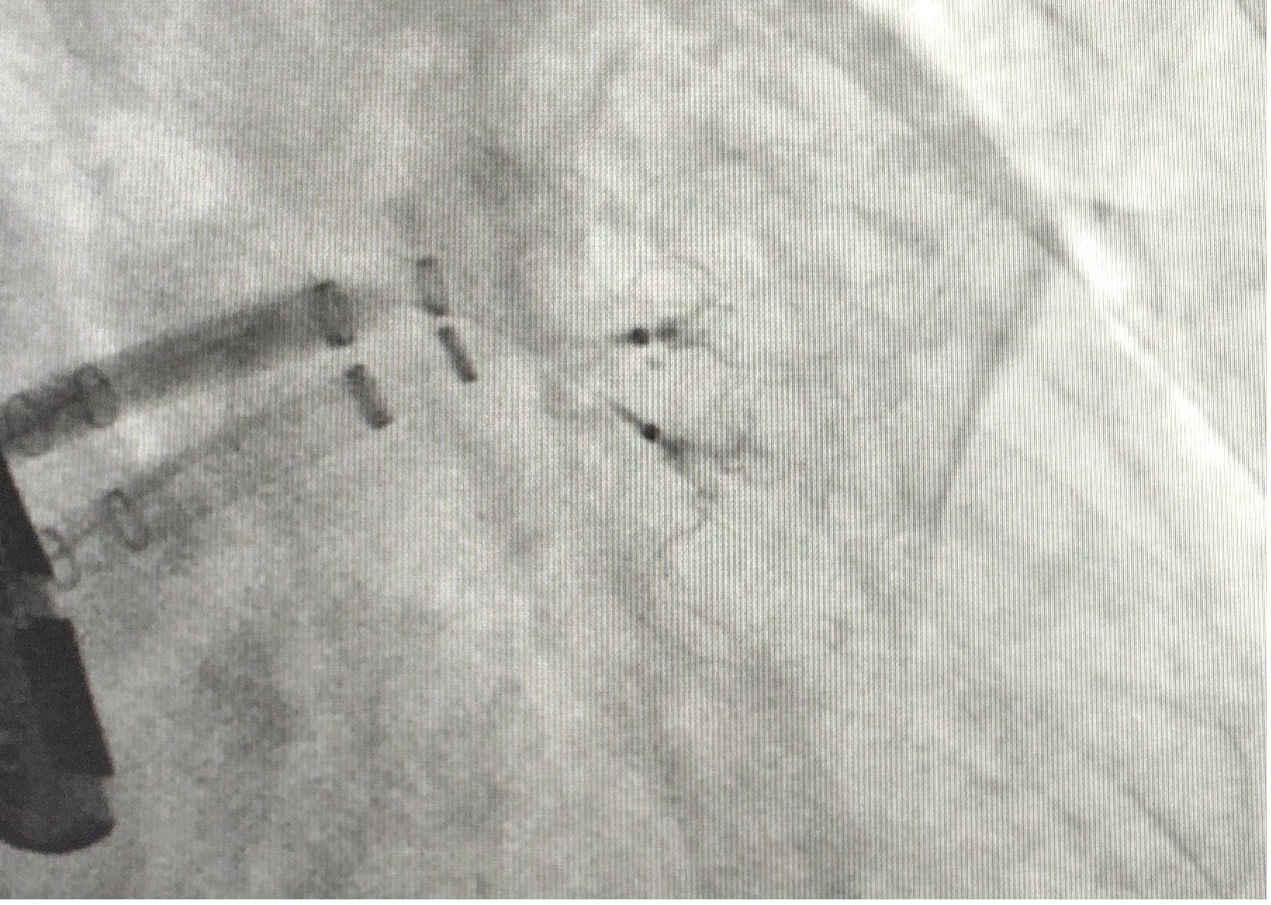
患者为66岁男性,永久性房颤5年余。既往有脑卒中史,高血压病史。间断口服华法林治疗,期间有多个器官及部位出血。入院房颤相关评分:CHA2DS2-VASc评分5分,HAS-BLED出血评分4分。经科室讨论行左心耳封堵术以减低脑卒中和出血风险。术中造影见巨大开口“菜花状”左心耳,经仔细分析病例特点为巨大开口(直径为37mm),且有两个较大的分叶。无法用最大型号WATCHMAN 封堵器(直径为33mm)封堵成功。遂改变封堵策略,选择使用两枚封堵伞,植入两个分叶分别进行封堵,即左心耳封堵的Kissing封堵技术。术中选用两枚封堵器(直径为24mm)送入两个分叶,进行Kissing封堵,封堵效果很完美。
该手术的成功是我院在中国房颤中心建设中取得的丰硕成果之一,也是心内科在介入技术的创新和突破,克服了心房颤动患者特殊左心耳封堵的技术难关,为患者带来了治疗方法的新选择。



相关阅读
- 上一篇:【喜讯】兰大二院在全省健康科普作品征集评选活动和健康科普达人演讲比赛…[ 01-10 ]
- 下一篇:兰大二院召开党委理论学习中心组(扩大)学习会议[ 01-14 ]










甘公网安备 62010002000586号