妈妈,我终于能够平躺着睡觉了!——兰大二院小儿神经外科完成一例新生儿后枕部脑膜脑膨出修补术
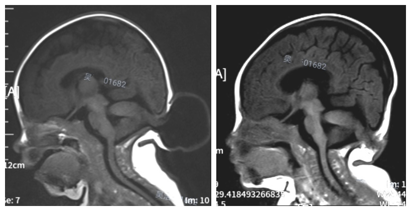
近日,兰大二院小儿神经外科专业组收治了一名出生25天的患儿,该患儿生后即发现脑后有个核桃大的包块。随着孩子一天天长大,包块也跟着疯长,不到一个月,包块体积就增大了两倍多。通过检查,发现该女婴患上的是一种常见的神经系统先天性畸形——脑膜脑膨出。孩子后脑的包块不是肿瘤,确切地说应该是一包‘水’,一包由病变的脑组织、脑膜和脑脊液积聚形成的‘水’。这包“水”形成的主要原因,是女婴先天性后枕部颅骨缺损,在孩子生长的过程中,她的部分小脑和脑膜及脑脊液通过颅骨缺损处汇集到包块里,形成现在的样子。这种疾病发展到后期可引起一系列并发症,如果包膜皮肤破溃,感染,甚至蛛网膜下腔和颅内感染,后果极其严重。
这种病例通常可以通过手术,先抽出积水,然后切除膨出脑膜,再进行修补手术。“这个手术面临三个困难:第一,患者年纪小,手术输液时难以找到血管;第二,患者气管只有成人小拇指粗细,麻醉后插管困难;第三,手术中出血量大,患者体内血液少,可能引起失血过多造成死亡。”3月17日,在神经外科李强主任的指导下,我院多个科室协同配合,由贺振华副主任医师主刀奋战3个小时,从包块中抽出300ml的脑积水,并且成功切除了包块,孩子终于能够平躺着睡觉了。


为减少先天性结构畸形所致残疾,推进健康扶贫工程,国家卫健委妇幼司、中国出生缺陷干预救助基金会于2017年启动实施先天性结构畸形救助项目。项目主要针对发病率相对较高、有成熟干预技术、治疗效果好的先天性结构畸形,为患儿提供医疗费用补助,减轻患儿家庭医疗负担。其中神经系统先天性畸形包括:1.脑膜脑膨出;2.先天性脑积水;3.脊柱裂(包括脊髓栓系);4.脊髓的其他先天畸形;5.颅缝早闭、狭颅症;6.小脑扁桃下疝畸形(Arnold-Chiari畸形)。如果您的孩子年龄18周岁以下(含)。家庭经济困难,能够提供低保证、低收入证、建档立卡贫困户证明或村(居)委会等开具的贫困证明。在项目定点医疗机构接受诊断、手术、治疗和康复。医疗费用自付部分超过3000元(含),即可申请此救助项目。
友情提醒:新生儿神经系统先天性畸形,及时手术可根治。兰大二院为先天性结构畸形救助项目定点医疗机构,小儿神经外科可以协助患儿申请此项救助,将努力为神经系统先天性畸形患儿及家庭撑起一片天空。
相关阅读
- 上一篇:兰大二院再添11个牵头建设紧密型专科(技术)联盟[ 03-25 ]
- 下一篇:疫情决战时刻,我们最后坚守——记兰大二院第四批援助湖北医疗队队员王映珍[ 03-30 ]










甘公网安备 62010002000586号