兰大二院小儿神经内、外科携手成功救治颅内巨大脓肿患儿
4月3日上午,兰大二院儿童医院小儿神经科病房里出现了感人的一幕,4岁小患者欣欣(化名)的爸爸把一面印有“医德高尚·医术精湛”的锦旗送到了医生办公室,并不停地说:“真是太感谢你们了,谢谢你们救了我的女儿,救了我们这个家!”
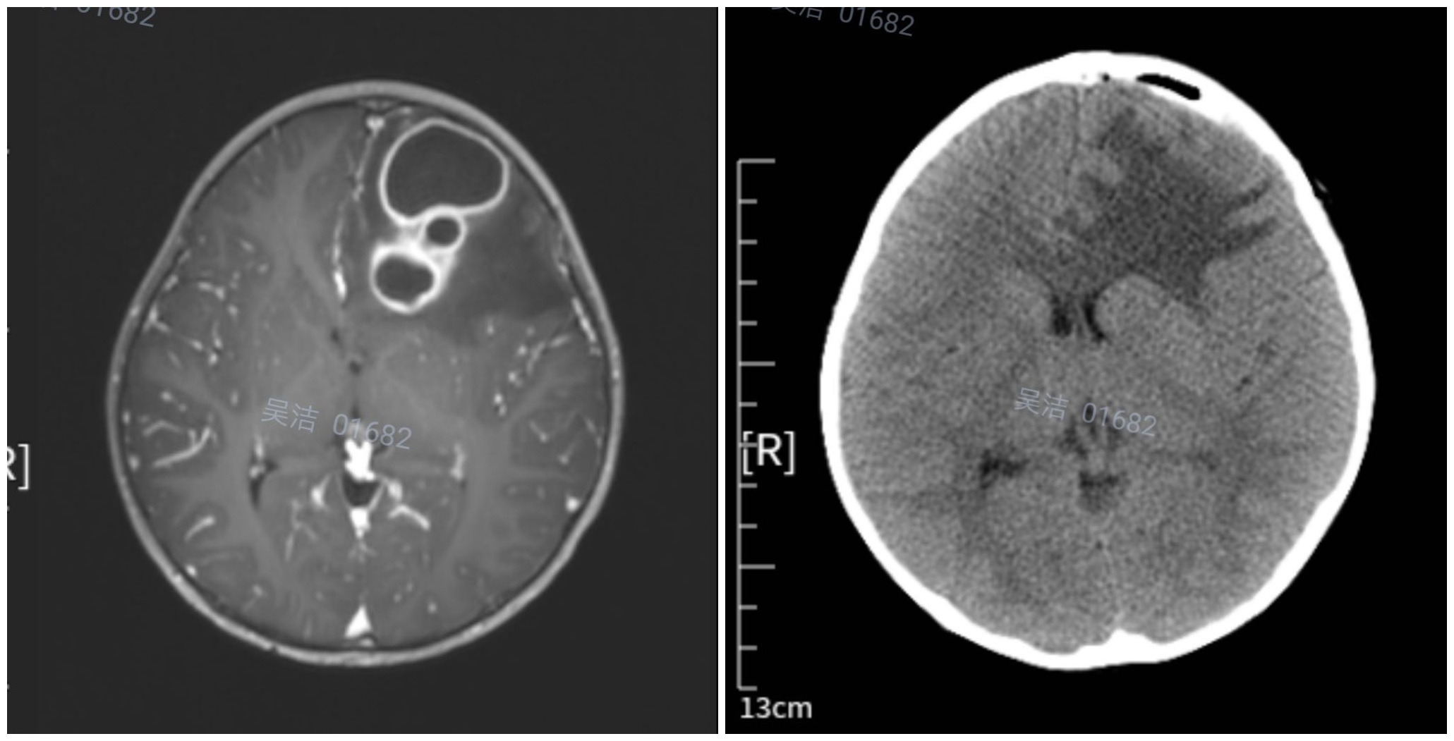
原来,他的女儿欣欣已间断发热、呕吐6天了,并且头痛2天,于3月21日来我院就诊,收住小儿神经科。入院时,患儿高热,频繁呕吐,左侧上眼睑浮肿。核磁提示:颅内占位病变。经询问得知,患儿在12天前有左侧眼部外伤史。入院后主管医师张永琴立即给予患儿降颅压、抗炎等对症治疗,积极完善核磁、腰椎穿刺术等相关检查。腰穿结果显示:脑脊液常规:白细胞数目45*10—6/L。速检脑脊液生化:脑脊液蛋白0.9g/L,诊断:左侧额叶脑脓肿。经请示儿童医院徐丁副院长、陈永前主任,立即指示给予美罗培南联合万古霉素抗感染治疗,遂请神经外科会诊,建议积极抗感染保守治疗2周后行手术治疗。经过对症支持治疗,小欣欣再无发热、呕吐等不适,精神越来越好,眼睑浮肿也慢慢消退,大家都由衷的替欣欣感到高兴。
可是,3月31日早晨,欣欣突然再次呕吐,颅内压增高,小儿神经外科贺振华副主任医师果断建议当日急诊,在全麻下行“经额脑脓肿切除术”。 脑脓肿手术术中必须精细操作,力求彻底切除脓肿,一旦脓肿壁破损和脓液的外渗,颅内感染将无法控制。经过严谨的手术计划和安排,一切准备就绪,欣欣的手术顺利进行。贺振华主任常规分层开颅,围绕肿物剪开硬脑膜,可见皮质下0.5CM多房囊性肿块,给予脑针穿刺脓肿腔,抽出20ML黄绿色脓液,并沿脓肿壁边缘游离,最终完整切除巨大脓肿。经止血、修补、关颅并包扎后,待患儿麻醉清醒,将患儿安全送返病房。

手术前后
术后,儿童医院为患儿制定了的周密的治疗方案,经过抗炎、止血等一系列对症治疗后,欣欣病情慢慢好转,已经能下床走路了,看着女儿的小脸慢慢露出了天真可爱的笑容,欣欣爸爸心里别提有多高兴了!他感慨生命,感恩所有帮助他的医生护士,为表示感谢,他特意送来锦旗。
小儿神经科陈永前主任医师说:“每一面锦旗都体现着患者对我们的认可和感谢,凝结着医护人员付出的智慧和汗水,想病人之所想,做有温度的医者,是我不辍追寻的方向,愿天下所有的孩子都远离病痛,身体健康,快乐成长!”

相关阅读
- 上一篇:兰大二院“组团式”帮扶舟曲县医疗队圆满完成帮扶工作[ 04-07 ]
- 下一篇:兰大二院对口帮扶陇西县第一人民医院医疗队圆满完成帮扶工作[ 04-09 ]










甘公网安备 62010002000586号