兰大二院骨科开展省内首例距下关节跗骨窦螺钉制动术
近期,兰大二院骨科四病区刘京升团队完成了一例复杂青少年平足症诊治,手术由足踝组王凯副主任医师、冯凯医师共同完成。
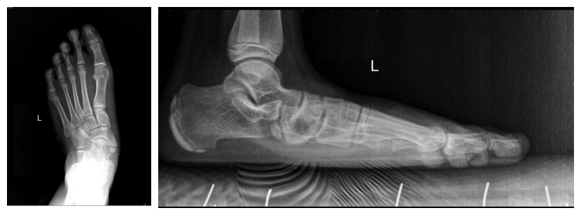
患者女,12岁,双足先天性平足症,患者自诉行走时双足疼痛7年余,就诊于多家医院均无法明确诊治。入院后,经我院医护团队细心查体及影像学分析,结合足踝外科最新的发展成果,为其制定了个性化的微创治疗方案。

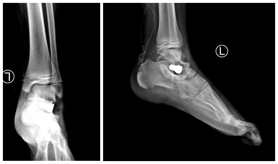
过去治疗平足通常采用软组织和骨的重建手术方式,但此术式创伤大、疗效差、并发症多,使很多医生遇到这种病例非常棘手。如今,国外的临床研究证实,距下关节跗骨窦螺钉制动术在儿童及青少年可复性平足的治疗中取得了非常满意的效果,跗骨螺钉是一个特别的骨关节内部置入物,它是由医用钛合金制造,并且简单轻松的放入踝与脚后跟之间自然存在的空隙间,一次手术就可以恢复健康,且运动不受限制。

近年来,国内逐渐采用此种手术,其创伤小、并发症少、疗效较确切。随着我院骨科专业化的发展及与国内外的积极探索交流,近期骨科四病区开展了省内首例距下关节跗骨窦螺钉制动术,手术非常成功,患者术后恢复好,效果满意。此例手术的开展标志着我院骨科在足踝外科领域已达到国内先进水平。
相关链接:王凯,医学硕士,副主任医师,任SICOT中国部足踝外科全国常委,白求恩基金会足踝外科全国委员,中华医学会足踝外科学青年委员,中国医师协会运动委员会委员。从事骨科工作10年余,尤其擅长足踝疾病的诊治,发表学术论文十余篇,其中SCI四篇,国家核心文章近10篇。
相关阅读
- 上一篇:疫情时期,幼儿居家安全管理的“危”与“机”[ 04-15 ]
- 下一篇:儿童医院全体护理人员学习身边榜样、致敬抗疫英雄[ 04-17 ]










甘公网安备 62010002000586号