兰大二院骨科实施省内首例胫骨远端骨折逆行胫骨髓内钉内固定术
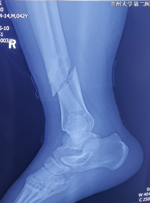
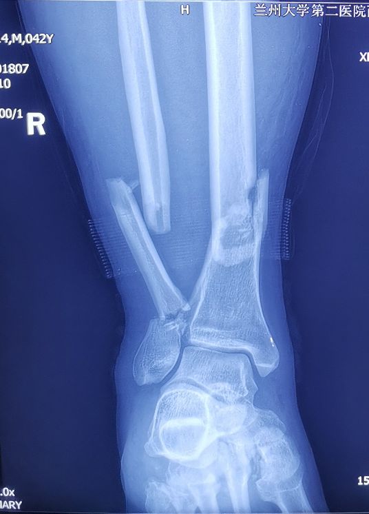
近期,我院骨科四病区刘京升主任团队完成了一例胫腓骨远端骨折合并足部多发骨折患者的治疗,其中应用的胫骨逆行髓内钉技术属全省首例,手术由刘京升主任医师、王凯副主任医师和冯凯医师共同完成。
患者,男,42岁,因异物砸伤致右下肢疼痛、肿胀,活动障碍7小时入院。入院后诊断为右胫腓骨远端骨折、右足楔骨骨折、右跖骨骨折、右骰骨骨折。入院时右侧小腿远端前内侧明显肿胀,局部可见大量张力性水泡。骨科四病区医护人员立即开展病情讨论,并制定详细周密的手术计划,同时在患者及其家属知情同意后,实施胫骨远端骨折逆行胫骨髓内钉内固定术。

小腿远端腓骨骨折治疗多采用切开复位钢板内固定,胫骨骨折可选用MIPPO技术钢板固定、胫骨顺行髓内钉及胫骨逆行髓内钉技术,其中MIPPO技术因患者软组织条件差术前消肿时间过长,顺行髓内钉因骨折线位置较低髓内钉远端把持力不足,同时会一定程度影响膝关节活动。而胫骨逆行髓内钉技术作为国内逐渐发展起来的新技术,在处理胫骨远端骨折时具有软组织损伤小、复位及固定简易等优势,十分适合本症状患者。
近年来,四肢骨折微创手术已在我国多地开展,对于符合适应症的患者其创伤小、并发症少、疗效较确切,该技术的首次应用也标志着我院骨科在创伤骨科诊疗技术方面又迈入了新的台阶。
相关阅读
- 上一篇:特别的爱给特别的你——甘肃省儿童医院小儿神经科庆祝六一儿童节活动[ 06-03 ]
- 下一篇:兰大二院心血管内科首次采用“瓣中瓣”技术成功为一合并严重升主动脉扩张…[ 06-03 ]










甘公网安备 62010002000586号