兰大二院医疗帮扶队完成舟曲县首例上肢骨折闭合复位经皮ESIN内固定术
近日,我院帮扶专家陈永刚医生完成舟曲县首例“上肢骨折闭合复位经皮ESIN内固定”技术,成功为1例左侧孟氏骨折的患儿实施了此项手术治疗。本例手术的成功实施,标志着舟曲县人民医院在儿童上肢骨折的内固定手术治疗的选择上,又迈出了新的一步。
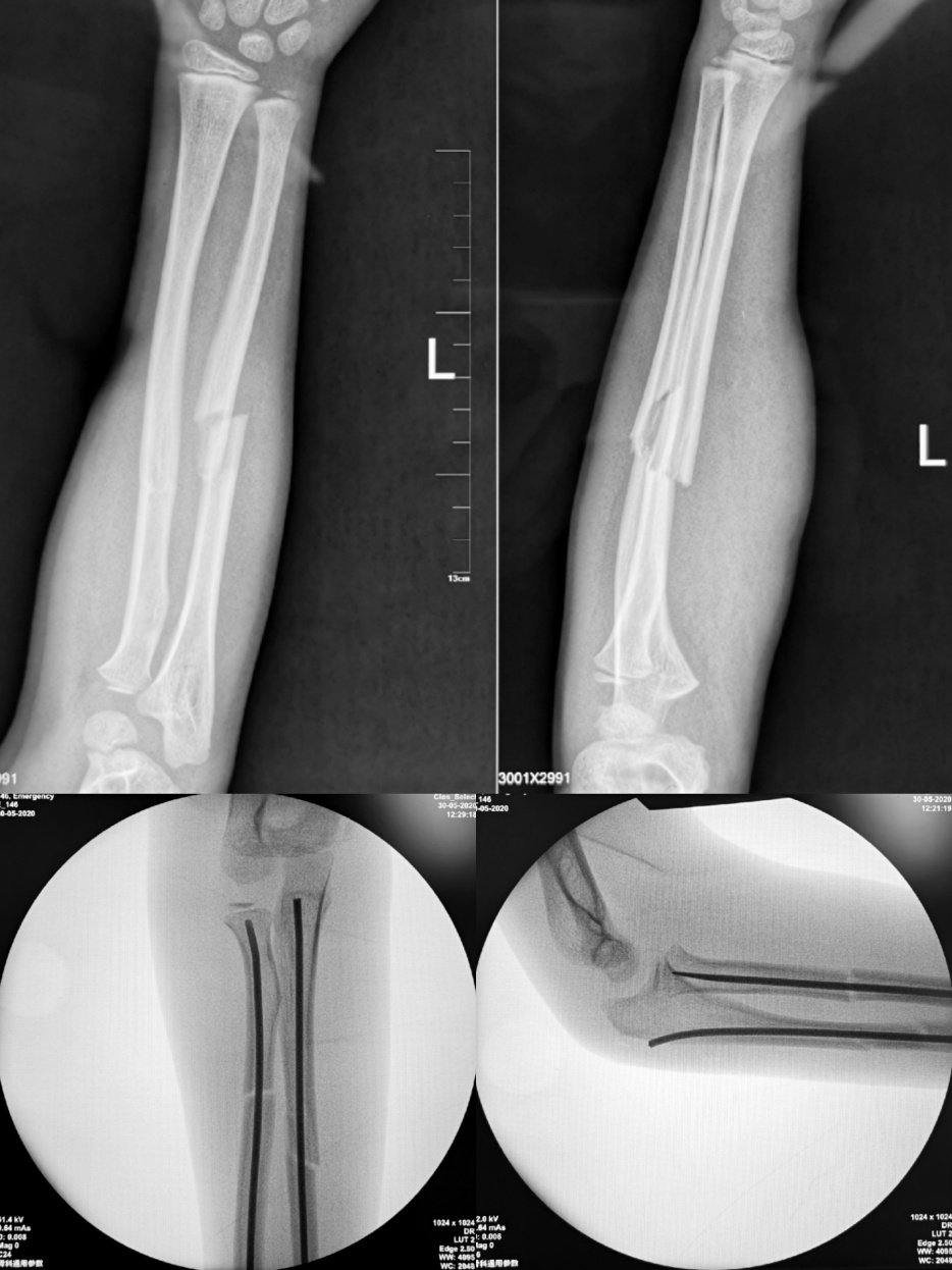
患儿,男性,12岁。因摔倒致左前臂肿痛伴活动受限2天,入院诊断为左侧孟氏骨折。入院后,进一步做详细检查后发现患儿左前臂及肘关节周围肿胀明显,压痛(+),左前臂旋转及屈伸活动均明显受限,患肢X线片示:1、左尺、桡骨干骨折;2、左桡骨头半脱位。
陈永刚医生带领县医院医护人员经过术前检查及病例讨论后,制定了一系列详细周密的诊疗计划,在向患者及家属详细讲解手术的必要性和可行性后,家属表示理解和支持。5月25日,在陈永刚医生的带教下,县医院骨科医师团队成功完成“左孟氏骨折闭合复位经皮ESIN内固定术”。手中一切顺利,术后患儿病情平稳,现已顺利出院。

闭合复位经皮穿钉(ESIN)内固定是近10年来逐步发展起来并广泛运用于临床的一种治疗儿童四肢骨折的微创手术操作技术,对于儿童四肢骨折的手术治疗具有跨时代的意义及广阔的临床运用前景。因其具有微创、手术时间短及疗效佳等优势,得到儿童骨科医生的广泛认可,但因其风险及对手术操作技术要求较高等原因,目前大多数基层医院骨科并未开展此项业务。此例手术为舟曲县首例,标志着该院在儿童骨科领域有了新的技术选项。
今后,我院帮扶队员将利用专科特色和优势,积极开展各项新技术新业务,加强医疗技术的创新、探索和运用,不断提升县医院综合实力和诊疗水平,为广大群众提供更专业、更优质、更高效的医疗服务。

相关阅读
- 上一篇:第二临床医学院举办“三走进”暨2019级本科生座谈会[ 06-11 ]
- 下一篇:“生命是一首歌”——兰大二院举办“中国器官捐献日”主题活动[ 06-12 ]










甘公网安备 62010002000586号