兰大二院心血管内科独立完成甘肃省首例ICE指导下的室早及房颤射频消融术
5月25日,心血管内科电生理团队独立应用心腔内超声(CartoSound)导管结合三维标测系统完成我首例乳头肌室性早搏射频消融术及房颤射频消融术。
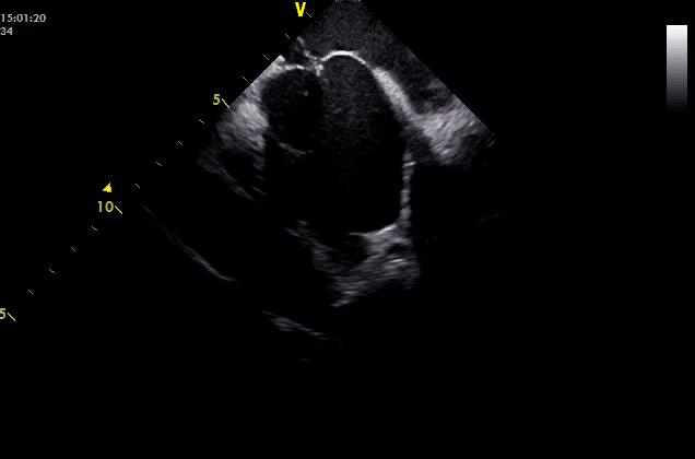
第1例患者,男性,61岁。发现室性早搏5年,动态心电图提示24小时室早总数35000+次,口服药物效果不佳,需要行射频消融术治疗。但该患者心电图表现提示为乳头肌起源室性早搏,由于乳头肌本身结构复杂,毗邻组织较多,常规的三维电解剖标测系统不能充分显示乳头肌结构,而且射频导管也很难准确到位和稳定贴靠,所以该区域的室早射频消融难度较高,普通的三维标测射频消融术费时费力,成功率低,复发率高。使用心腔内超声技术(ICE)可以帮助介入医生更加直观地看到乳头肌位置,还可以更加精确地定位消融导管的位置,实时显示导管贴靠的情况,显著提高了手术的成功率,同时有效减少X线的用量,减轻辐射对病人和医生的伤害。
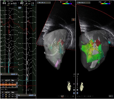
第2例患者,男性,51岁。诊断阵发性房颤5年,该例手术是省内第一次独立应用ICE完成的零射线房间隔穿刺及房颤射频消融手术。手术用时1.5小时,术中一切顺利。

目前,心腔内三维超声技术在美国、欧洲和日本等国家的大型医学中心用于各类复杂心律失常的介入治疗。我院心血管中心首次独立将CartoSound心腔内三维超声技术用于难治性室性早搏和心房颤动的治疗。本例手术的成功,标志着心血管内科在绿色电生理射频消融治疗心律失常疾病方面有了进一步的提高,将为更多心律失常患者带来福音。

相关阅读
- 上一篇:“生命是一首歌”——兰大二院举办“中国器官捐献日”主题活动[ 06-12 ]
- 下一篇:兰大二院急危重症党总支第一党支部开展“急救知识走进警营”活动[ 06-12 ]










甘公网安备 62010002000586号