兰大二院健康帮扶医疗队完成舟曲县首例肱骨髁上骨折经肘内侧切口切开复位内固定术
近日,我院赴舟曲健康帮扶队员陈永刚完成舟曲县首例肱骨髁上骨折经肘内侧切口切开复位内固定术,成功为1例右侧肱骨髁上骨折患儿完成了手术治疗。此例手术的成功实施,标志着舟曲县人民医院在儿童肱骨髁上骨折手术治疗上,又迈出了新的一步。
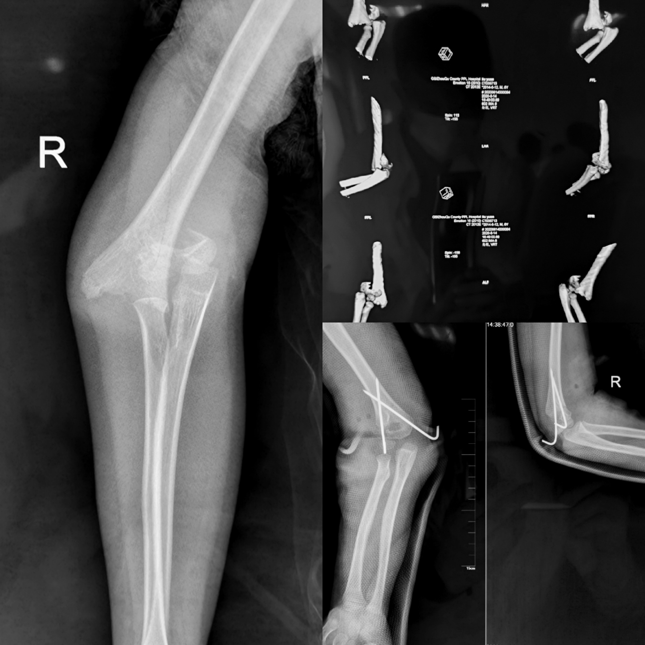
患儿,男性,6岁。以“玩耍时摔倒致右肘关节肿痛伴活动受限1天”入院。入院诊断显示右肱骨髁上骨折(Gartland Ⅲ型)。入院查体发现患儿右肘关节呈“靴状畸形”,肘关节周围肿胀明显,可见明显的皮下淤青,压痛(+),右肘关节屈伸活动均明显受限,右手腕关节及手部各关节活动良好,末梢血运及感觉无异常。患肢X线片提示右肱骨髁上骨折(Gartland Ⅲ型)。经严格的病情评估和术前讨论后,6月17日,在陈永刚医师的指导下,舟曲县人民医院骨科团队顺利完成“右肱骨髁上骨折经肘内侧切口切开复位内固定术”。术中一切顺利,术后患儿恢复良好。

儿童肱骨髁上骨折切开复位内固定手术入路主要有: 前路、经肱三头肌腱后方入路、肘后改良“S”形切口、外侧入路、内外侧联合入路、单纯内侧入路等。前路手术主要适用于合并血管神经损伤患者,能直接显露并处理血管神经,但若无血管神经损伤,采用此入路可能因术者自身解剖不熟或患者骨折移位肿胀 至自身解剖关系紊乱而产生医源性血管神经损伤。后路手术因破坏了肱三头肌腱等伸肘装置的稳定性,有其严格的适应证。改良后侧“S”形切口存在切口较长,剥离较广泛等不足。内外侧联合入路能获得较好的显露,但损伤广泛,两切口之间皮瓣过窄有可能至皮肤坏死,而且外侧切口的存在影响美观。
采用单纯内侧切口治疗明确无血管神经损伤的肱骨髁上骨折患儿,能直接显露尺神经并予以保护,避免医源性尺神经损伤,且据需要可行尺神经前置。内侧切口能直接显露肱骨远端内侧骨质损伤情况,若存在内侧骨质压缩、劈裂等可直视下予以相应复位固定,稳定内侧柱,减少及避免肘内翻的发生。行肘关节内侧入路,切口隐蔽,采用皮内缝合法,瘢痕小或无瘢痕,符合现代人美学要求,但由于内侧切口在国内开展较迟,且其对手术医师操作技术要求较高,目前大多数基层医院骨科并未开展此项业务。此例手术为舟曲县人民医院首例,标志着该院在儿童肱骨髁上骨折手术切口的选择方面有了新的进展。

今后,我院帮扶队员们将继续坚持“输血”与“造血”有机结合,充分发挥医疗优势,聚焦帮扶效果,提升帮扶效率,将帮扶工作落到实处。
相关阅读
- 上一篇:【纪念建党99周年系列报道八】兰大二院对口帮扶陇西县人民医院临时党支部…[ 07-02 ]
- 下一篇:兰大二院健康帮扶医疗队完成舟曲县人民医院妇产科首例单孔腹腔镜手术[ 07-02 ]










甘公网安备 62010002000586号