兰大二院健康帮扶医疗队完成甘南州首例股骨干骨折小切口复位带尾帽弹性钉内固定术
近日,我院赴舟曲健康帮扶队员陈永刚完成甘南州首例股骨干骨折小切口复位带尾帽弹性钉内固定术,成功为1例右股骨干骨折的患儿完成了手术治疗。此例手术的成功实施,标志着舟曲县人民医院在儿童股骨干骨折内固定方式的选择方面有了新的进展。
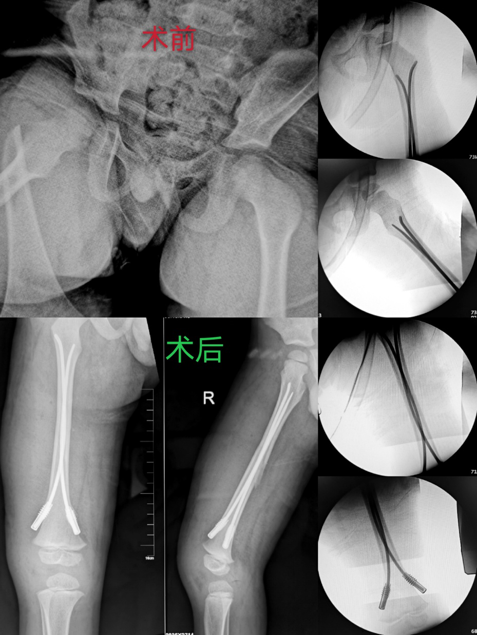
患儿,男性,4岁,以“奔跑时摔倒致右大腿肿痛伴活动受限3小时”入院。入院诊断显示右股骨干骨折。入院查体发现患儿右侧大腿肿胀明显,并呈内收成角畸形,压痛(+),末梢血运及感觉无异常,患肢X线片提示右股骨干骨折(长斜形骨折)。在全面的病情评估和术前讨论后,陈永刚与舟曲县人民医院骨科团队制定了详细周密的手术计划,于6月23日成功实施手术。

弹性髓内钉内固定是一种安全、简便、快速的儿童长骨干骨折的手术治疗方法,特别适合于治疗儿童股骨干骨折。弹性髓内钉作为一种新型的内固定材料在治疗儿童长管状骨骨折方面具有独特的优势,是符合儿童骨骼生理解剖的一种内固定方法,其手术适应证为横形、短斜形和短螺旋形等稳定股骨干骨折。
采用弹性髓内钉联合尾帽技术微创内固定治疗儿童不稳定股骨干骨折更具有优势,可有效维持骨折端的稳定,降低弹性髓内钉退钉、骨折复位丢失及股骨短缩等风险。但由于此技术对手术医师操作技术要求较高,加之由于儿童手术风险较大等原因,目前大多数基层医院小儿骨科发展较为缓慢,很多有难度的小儿骨科手术业务并未顺利开展。此例手术为舟曲县人民医院首例,也为甘南州首例。

今后,我院帮扶专家将继续不忘初心、牢记使命,将先进的医疗技术、医疗理念、医疗思路带到基层医院,帮助受援医院医疗水平不断提高巩固,为广大人民群众提供更加安全优质的医疗服务。
相关阅读
- 上一篇:兰大二院健康帮扶医疗队完成舟曲县人民医院妇产科首例单孔腹腔镜手术[ 07-02 ]
- 下一篇:兰大二院移动护理系统(PDA)正式上线,助力护理工作闭环管理[ 07-02 ]










甘公网安备 62010002000586号