兰大二院心脏外二科自主完成我省首例“双通道”右室流出道重建术
近日,心脏外二科吴向阳主任医师团队完成我省首例“双通道”右室流出道重建术,目前患者已顺利康复出院。
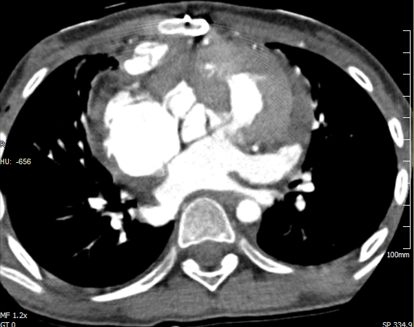
患者,女性,10岁。自出生后表现为全身青紫,活动耐力下降,虽在多家医院就诊,但均未给予有效的治疗。入院后检测得知其动脉血氧饱和度为60%,属重度缺氧,由于长期严重缺氧,患儿生长发育已受影响。经CTA、超声等多种检查后,确诊为复杂先天性心脏病:矫正性大动脉转位,房间隔缺损,室间隔膜部瘤,功能右室(解剖左室)流出道重度狭窄,三尖瓣返流中—重度。针对本例复杂的右室流出道狭窄问题,吴向阳主任医师团队在术前制定了第一手术方案及备用方案,术中首先采用第一方案疏通右室流出道,并同期矫治其它心内畸形,心脏恢复跳动后测右室压仍很高,证明狭窄未能很好的解除,遂应用备用的“双通道技术”重建右室流出道,心脏再次复跳后测量右室压下降满意。患儿术后恢复顺利,氧饱和度提高至96%,复查超声及CT提示心内畸形矫治满意。
据吴向阳主任介绍,部分复杂的右室流出道狭窄患者用常规方法无法满意矫治时,可采用“双通道技术”,即在保留原有右室流出道同时,人为的建立一个从右室到肺动脉的通道。该术式需要用人工带生物瓣管道,但目前临床上尚无现成的产品可用,需要外科医师在手术台上临时用生物补片制作出带三瓣叶的管道,并将其缝合于肺动脉与右室之间。

术后CT显示新建的右室第二通道通畅
相关阅读
- 上一篇:兰大二院2018级硕士研究生中期考核顺利完成[ 08-04 ]
- 下一篇:【喜讯】中国农工民主党甘肃省委员会授予我院农工党基层委员会“先进集体…[ 08-05 ]










甘公网安备 62010002000586号