兰大二院骨科成功实施两例瘤段切除,人工假体置换重建术
近日,在多学科的大力支持下,在我院骨科骨肿瘤亚专业组带头人王旭主任医师主刀,主治医师王亚鹏的密切配合下成功实施两例瘤段切除,人工假体置换重建手术,为转移瘤所致股骨病理性骨折患者带来福音,现已获得良好疗效。
第一例患者女性,48岁,因“左大腿疼痛2月余,疼痛突然加重伴肿胀、畸形、活动障碍5天”入院。查体见痛苦病容,左大腿上端明显肿胀,呈屈曲、外旋、短缩畸形,左大腿中上段压痛明显,皮温升高,可触及骨擦感,左下肢活动障碍。初步诊断为左股骨病理性骨折。左股骨X线提示:左侧股骨近端虫蚀样骨质破坏并骨折,局部软组织密度改变。CT提示:左侧股骨上端广泛虫蚀状骨质破坏,中上段为著,周围软组织肿胀,考虑左侧股骨恶性骨肿瘤并病理性骨折。全身骨显像:左侧股骨中上段代谢异常增高伴软组织肿块,结合MRI考虑恶性骨肿瘤继发病理性骨折。后行穿刺活检,病理提示:符合转移性肺腺癌;(左侧远端髓腔肿物)见腺癌组织。由于患者非常痛苦,后并发下肢静脉血栓,其家属强烈要求手术,经我院医护对其全身严格评估并妥善处理下肢静脉血栓后,术前多学科讨论认为符合手术适应症,遂顺利行瘤段切除,人工假体置换重建术,髋关节囊及股骨上端重要肌肉附着点均使用laser韧带重建,历时3小时余。术后患者剧痛、烦躁、失眠等症状消失,活动明显增加,护理方便,医患双方对疗效非常满意,为后续治疗创造了有利条件。

术前X片图及核磁共振显示

全身扫描ECT图

术后X片图
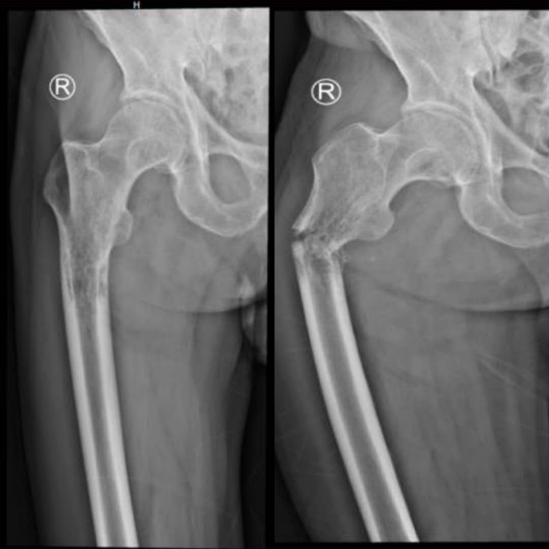
第二例患者男性,76岁,因“右大腿剧烈疼痛伴烦躁失眠,活动明显受限40余天”入院。查体见:痛苦病容,右大腿上端略肿胀,局部皮温略高,可触及包块,扣压痛明显,有骨擦音及异常活动,叩击足底时右大腿根部剧烈疼痛,余无明显异常。初步诊断为右股骨恶性肿瘤并病理性骨折。入院检查右股骨X线提示:右侧股骨近端虫蚀样骨质破,局部软组织密度改变。胸部CT平扫:1.双肺间质性改变,左肺上叶空洞型病变,邻近多发小结节及条索影,结核多考虑,请结合临床。 2.甲状腺多发钙化灶及小结节。 3.SPECT全身骨显像:右侧股骨近端代谢增高与减低并存,骨肿瘤与骨结核待进一别。穿刺活检病理提示为:(股骨)转移性腺癌。全身检查,未发现原发灶。该患者疼痛症状剧烈,伴烦躁不安,昼夜不眠,食欲不振,非常痛苦,服药效果不佳,曾要求截肢。其家属也强烈要求手术,全身严格评估后,术前多学科讨论认为符合手术适应症,遂顺利行瘤段切除,人工假体置换重建术,历时3小时半。术后患者以上不良症状均明显缓解,患者感激涕零,活动明显增加,三天后扶拐下地,医患双方对疗效非常满意,准备两至三周后行化疗及支持治疗。

术前X片图

全身扫描ECT图

术后X片图
恶性肿瘤患者发生骨转移,已属癌症晚期,体质差,免疫力低下,多行保守治疗。但若发生病理性骨折,局部剧烈疼痛,患者多伴高度焦躁不安,失眠,活动明显受限,护理困难,更容易发生褥疮,下肢静脉血栓等并发症。目前治疗该类病理性骨折的方法有以下三点:一是保守治疗。包括骨牵引或外固定、止痛等治疗,但其缺点是并发症多,活动受限,疗效不满意,多数情况下只是医患双方的无奈之选;二是瘤灶清除,骨水泥填塞手术(脊柱转移瘤可选用PVP/PKP技术),骨折复位后行钢板、髓内钉等内固定,但其缺点是手术时间长,创伤大,出血多,局部肿瘤复发快,止痛时效较短;三是瘤段切除,人工假体置换手术,但其缺点是创伤大,出血多,技术要求高,必要时须有ICU支持等。
此两例手术具有以下三点优势:一是适应症严格,适用于全身条件评估合格,能耐受麻醉手术,转移瘤灶单一或原发灶不明而发生病理性骨折者,该项技术将使部分骨转移瘤并发病理性骨折患者大为受益,充分体现出局部肿瘤切除较彻底,复发率低,止痛时效长,功能恢复快等优点;二是术中对部分瘤段使用了无水酒精体外灭活后再植技术,克服了远端股骨长度不足,对假体柄远端把持不力的缺点;三是在术中,对髋关节囊及股骨上端重要肌肉附着点均使用laser韧带(肿瘤管)重建技术,保证了股骨中上端及髋关节的稳定,使早期下地活动成为可能;四是配合早期骨科快速康复技术有利于患者的功能恢复。
瘤段切除,人工假体置换重建手术是将局部瘤体彻底切除,其止痛效果显著,可早期下床活动,并发症较少等。但此项技术要求高,适应症非常严格,对医院的综合实力及多学科配合要求很高。本两例手术的成功实施,表示着我院骨科医疗技术又上一个新的台阶。
相关阅读
- 上一篇:甘肃省护理学会骨科分会专家组一行赴我院开展现场评审工作[ 08-12 ]
- 下一篇:2020甘肃省眼科质控中心暨兰大二院眼科赴酒泉市、嘉峪关市、临夏州眼科能…[ 08-12 ]










甘公网安备 62010002000586号