兰大二院骨科四病区完成甘肃省首例人工生物金属聚乙烯假体全关节跖趾关节置换术
近日,在北京大学人民医院徐海林主任的指导下,我院骨科四病区副主任刘京升带领副主任医师王凯、冯凯完成了甘肃省首例人工生物金属聚乙烯假体全关节跖趾关节置换术。
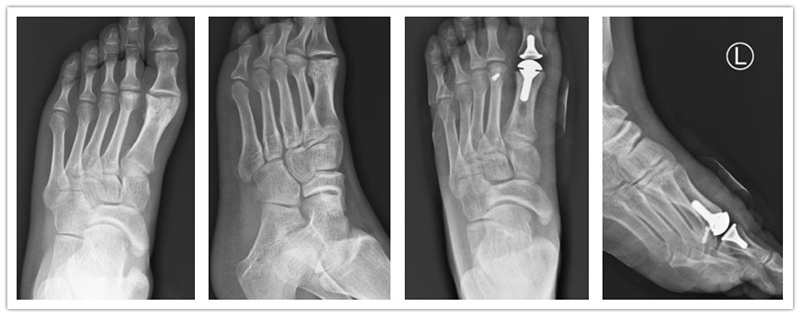
患者,男性,43岁。自诉行走时前足疼痛2年余,就诊于多家医院均无法明确诊治,经我院骨科四病区医护团队的仔细查体及影像学分析,明确诊断为踇僵硬。完善相关检查后,骨科四病区进行了全体讨论,并结合最新的足踝外科领域进展,决定为其实施人工生物金属聚乙烯假体全关节跖趾关节置换术。术中一切顺利,术后恢复良好,效果满意。
踇僵硬是以第一跖趾关节疼痛和活动受限为特征的关节退行性病变。早期症状主要包括疼痛、肿胀和跖趾关节滑膜炎,背伸受限则是其中最典型的特征一。此类患者常诉步态僵硬,第一跖趾关节局部疼痛,在步行和站立时加重,休息后缓解。临床上常采用关节唇切除术、关节成形术、第一跖骨截骨术、跖趾关节融合术等,但这些传统术式解决踇僵硬引起疼痛的同时,一定程度上牺牲了正常跖趾关节的功能活动。1974年Swanson采用医用新型高强度硅胶弹性材料设计制作了双柄铰链式硅胶假体,该假体柔韧性强,生物相容性好,较为耐用,但是随着时间进展,硅胶假体常出现骨质溶解等影像学表现,最终发展成临床并发症,需要二期翻修。此后金属植入物由此发明,但是当第一跖趾关节疾患到达晚期,病变累及双侧关节面时,需要置换整个跖趾关节,金属半关节假体已无法满足临床需求,此时临床学者发明了人工生物金属聚乙烯全关节假体。
近年来,我国逐渐采用人工生物金属聚乙烯假体全关节置换术,此类手术创伤小、并发症少、疗效较确切。随着我院骨科专业化的发展及与国内外的积极探索交流,我院也积极开展此类手术。此例手术的成功,标志着我院骨科在足踝外科领域已达到国内先进水平。
相关链接:
王凯,兰大二院骨科四病区副主任医师,SICOT 中国部足踝外科学会常务委员,白求恩公益基金会足踝专业委员会委员,中华医学会骨科学分会足踝外科学组青年委员,中国医师协会运动医学足踝专业学组青年委员,中国矫形支具学会足踝学组委员,中国糖尿病足联盟委员,发表学术论文近十篇,其中SCI三篇。

相关阅读
- 上一篇:甘肃省神经感染与免疫性疾病规范化诊疗培训班开班[ 08-26 ]
- 下一篇:甘肃省临床用血质控中心专家组一行赴我院督查临床用血工作[ 08-28 ]










甘公网安备 62010002000586号