兰大二院骨科成功实施省内首例难复性寰枢椎脱位的后路松解椎间隙撑开复位融合手术
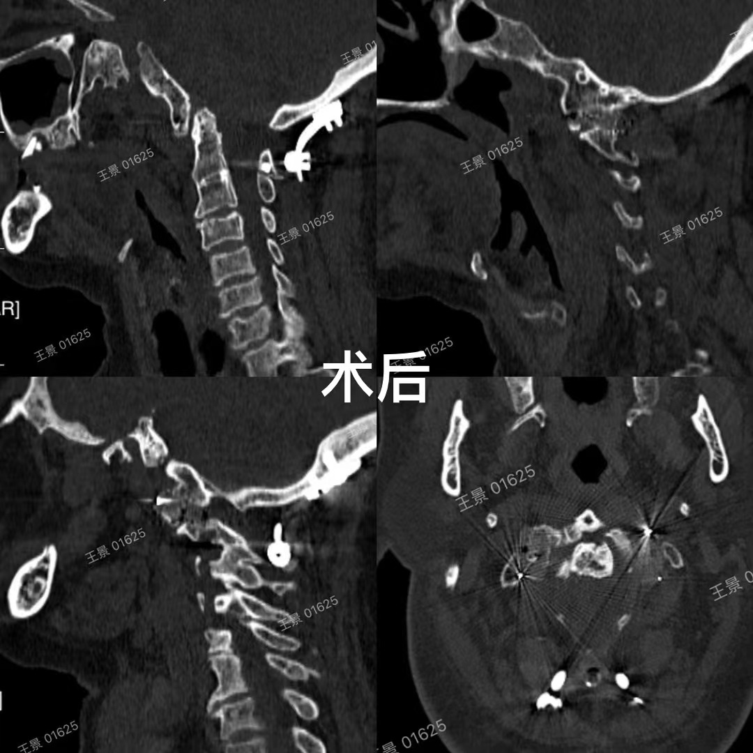
近日,兰大二院骨科二病区副主任医师王景团队采用后路松解椎间隙撑开复位融合技术,成功治疗多例复杂难复性寰枢椎脱位患者,经过数月随访,均取得满意疗效。
寰枢椎即第一、二颈椎,位于颅颈交界区,解剖结构复杂,毗邻延髓、椎动脉,且常常产生变异,手术难度和风险极高。寰枢椎脱位是由于多种病因使得寰枢关节失去正常对合关系,造成寰枢椎畸形脱位,脊髓压迫。引起颈不适、活动受限、四肢麻木无力、瘫痪以及吞咽困难等症状。严重者压迫呼吸循环中枢进而危及生命,全国仅少数大型三甲医院可开展寰枢椎脱位的矫形手术。


兰大二院骨科王景团队在既往治疗难复性寰枢椎脱位及颅底凹陷的经验和基础上,已完成多例显微镜辅助下难复性寰枢椎脱位的后路松解、椎间隙撑开复位融合技术,均取得良好效果。这项新技术在不需要外在牵引的情况下,使大部分难复性寰枢椎脱位得到了快捷安全有效的治疗,寰枢椎关节间融合也为颅颈交界区畸形手术提供了强有力支撑和有效融合界面。

此项技术也填补了我省此类技术的空白,相关手术病例进行多次学术示范交流,获得多位全国专家的一致肯定好评,有力助推医院上颈椎疾病诊疗水平处于全国先进水平。

相关阅读
- 上一篇:兰大二院专家团队赴庆阳对接甘肃省陇东区域医疗中心建设工作[ 07-01 ]
- 下一篇:兰大二院护理部举办“2022年急慢性伤口诊疗新进展研讨会”[ 07-05 ]










甘公网安备 62010002000586号