兰大二院心脏外科联合妇科成功为静脉内平滑肌瘤患者实施手术
近日,兰大二院心脏外科联合妇科成功为1例静脉内平滑肌瘤病患者实施了子宫及附件全切+卵巢动静脉结扎离断+卵巢静脉内肿瘤剥脱+心内肿瘤清除术。术后患者病情稳定,恢复良好,现已顺利出院。
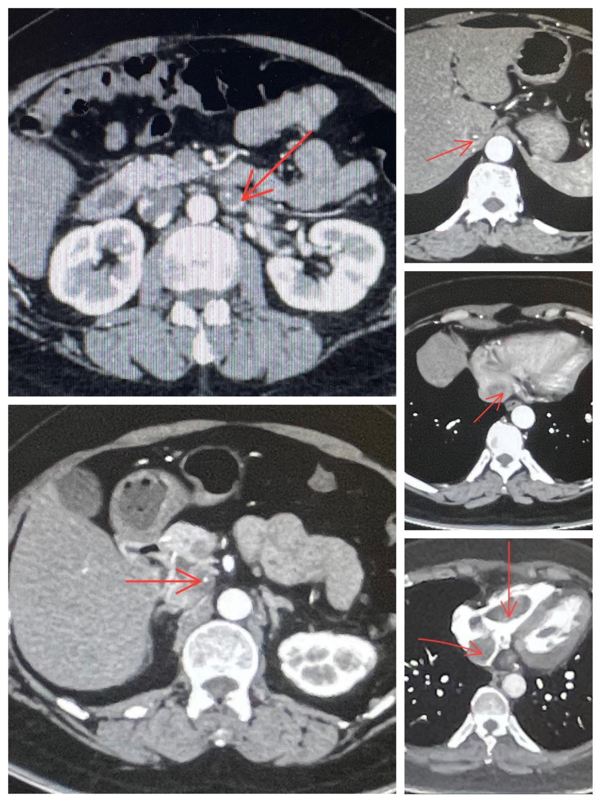
患者1年前曾出现活动后头晕、气短等现象,因休息后可逐渐缓解当时未予重视。今年5月,患者突发晕厥1次并伴有意识丧失,经其他医院就诊后发现其右心内巨大占位约52*27mm,舒张期可经三尖瓣进入右心室,看似有蒂附着房间隔,考虑粘液瘤。
患者在我院入院后,心脏外科吴向阳主任团队继续完善静脉系统CTA、头颅CT、妇科超声等相关检查。经查其CTA显示:子宫多发肌瘤,并沿左侧卵巢静脉向上延伸至左侧肾静脉-下腔静脉-右房右室,卵巢动脉发出供血血管,双肺动脉未见栓子,头颅未见明显异常;超声检查(子宫、附件经腹壁)显示:子宫肌瘤(多发),并沿左侧卵巢静脉向上延伸,双侧附件未见明显异常。结合患者既往病史,明确诊断其为静脉内平滑肌瘤(IVL)。
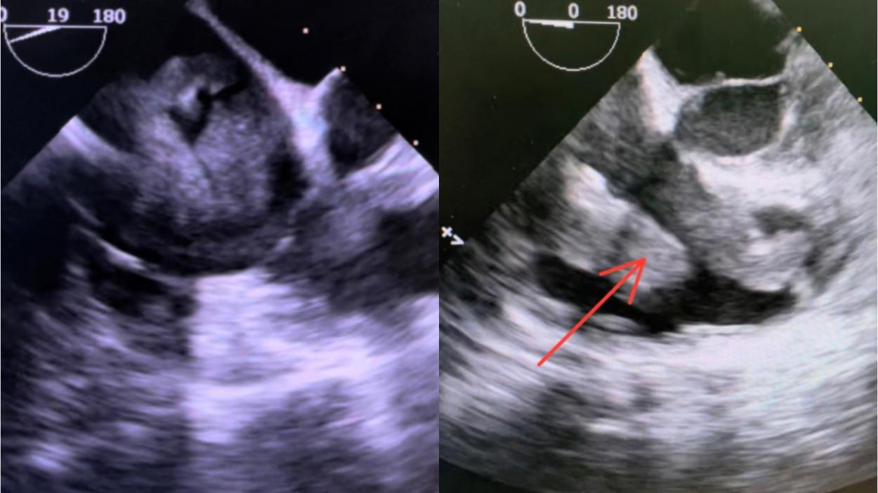
医院立即组织多学科讨论,随后心脏外科团队在征得患者及家属同意后,于6月2日联合妇科行子宫及附件全切+卵巢动静脉结扎离断+卵巢静脉内肿瘤剥脱+心内肿瘤肿瘤清除术(包括下腔静脉、右房、右室及三尖瓣瓣叶)。因术中见肿瘤已侵犯三尖瓣前后叶,遂同期行三尖瓣生物瓣置换术+心脏表面临时起搏导线植入术。术后患者心律由术前一度房室传导阻滞变为三度,考虑传导束周围组织水肿引起,遂调整临时起搏器保驾心率为70次/分,后逐渐变为窦性心律、交界性心律、II度一型交替,术后2周患者心律恢复为窦性,平均80-90次/分,经连续观察3天,患者心律稳定,病情稳定遂安排出院。

术前影像资料

术中TEE所见

围术期心电图变化
【科普常识】
静脉内平滑肌瘤病(IVL)是指肿瘤突出子宫外,沿着宫旁静脉在血管内呈恶性生长,可进入下腔静脉,延伸至右心房、右心室,最早报道是1896年,称之为心脏内平滑肌瘤病,该病发病率低,属于少见、罕见病种。
IVL的病因尚不清楚,目前有两种理论:Knauer等认为IVL来源于静脉平滑肌组织增生并沿静脉腔内生长;Sitzenfry认为子宫肌瘤沿脉管播散。近年越来越多的研究结果倾向后者:(1)Li等报道,83.5%的IVL患者合并子宫肌瘤或有子宫切除术、子宫肌瘤剔除术史。部分学者认为,前次子宫相关手术造成血管损伤,导致平滑肌瘤隐匿于脉管系统中并沿脉管内逐渐生长;(2)IVL肿瘤细胞的雌、孕激素受体阳性,而受累血管平滑肌细胞雌、孕激素受体为阴性;(3)范玉龙等研究中,8例患者术中发现瘤体根部均位于子宫,并沿血管走行;(4)赵欣宇等报道49例(96.1%)均未涉及髂静脉、下腔静脉甚至心脏,更倾向于支持第二种说法。
据报道,IVL为一种激素依赖性疾病,分析其原因:(1)国内外报道IVL发病年龄21~80岁,多为绝经前女性,平均年龄40岁左右,本研究病例平均年龄(43.92±7.50)岁,为激素依赖性疾病的好发年龄;(2)瘤组织中雌激素受体(ER)及孕激素受体(PR)表达明显高于正常组织;(3)病例常发生在多孕产史患者。
肿瘤生长途径可分为2种:沿子宫静脉-髂内静脉-髂总静脉-下腔静脉-心脏走行,或沿右卵巢静脉-下腔静脉-心脏/左卵巢静脉-左肾静脉-下腔静脉-心脏生长,前者较后者更为常见。
静脉内平滑肌瘤病治疗后易复发,于子宫切除术时病变未超出子宫或将子宫外病变已完全切净,日后还可能在其他脉管内发生。有时是在子宫切除若干年后发生。复发与保留卵巢的内源性雌激素有关,主张作全子宫、双附件及子宫外肿瘤切除,可减少复发,改善预后。
相关阅读
- 上一篇:甘肃省儿童医院召开座谈会讨论发展规划[ 07-05 ]
- 下一篇:【安全生产月系列报道八】兰大二院热力科开展安全生产月专项活动[ 07-06 ]










甘公网安备 62010002000586号