兰大二院成功实施机器人辅助下患儿骨桥精准切除术
近日,兰大二院小儿骨科刘文忠主任团队成功为一名9岁胫骨远端骺板骨桥形成导致内翻畸形的患儿实施了机器人辅助下骨桥精准切除术。手术通过天玑骨科手术机器人精准定位、精确设计、精确切除、实时监测、模拟置钉,由刘文忠主任医师、移志刚主治医师和丁界先医师共同完成,实现了人机合一的良好效果。
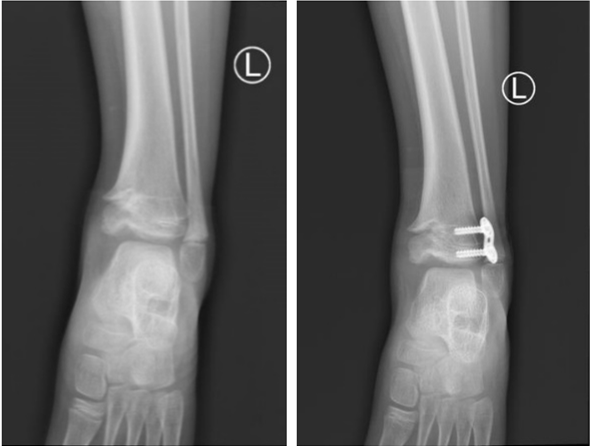
患儿为9岁男孩,因“左踝关节畸形伴行走疼痛8月余”就诊小儿骨科门诊,经详细询问病史、仔细查体、阅片后收住入院,并积极完善相关检查,组织全科医生进行病例讨论。科室主任董平详细分析患儿畸形的来源、分型及角度,刘文忠就患儿的治疗方式提出了新的见解。传统骨桥切除创伤大、对正常骺板破坏大、术中无法判断骨桥是否完整切除,部分病人存在骨桥再次形成、畸形复发的可能。基于上述原因,如何精准切除骨桥、最大限度保护正常骺板是术中关键技术。天玑骨科机器人可以解决传统手术创伤大、精准差、视野差等问题。经讨论最终决定采用机器人辅助下骨桥精准切除+外侧骨骺阻滞术。
经患儿家属同意后,在麻醉科、手术室的精心配合下,天玑机器人通过快速扫描、上传数据、重建骨骼形态,将指示器置于胫骨上获取相应部位冠状位、矢状位和水平位的图像,刘文忠团队通过屏幕精确找到骨桥的位置,精准磨除骨桥,再通过指示器的尖端探查骨桥切除的范围,相互映证。最后机器人精确设计、模拟置钉,精准完成外侧骨骺阻滞术。手术操作直观、安全、微创,最大限度保护正常骺板。术后患儿生命体征平稳,在小儿骨科病区护理团队悉心护理下,已康复出院。小儿骨科团队在精准化、智能化、微创化手术领域也迈向了新台阶。




相关阅读
- 上一篇:【喜讯】兰大二院获批中国炎症性肠病区域诊疗质控中心[ 08-26 ]
- 下一篇:甘肃省儿童医院举办第十六期“厚德精医、护佑童年”西部儿童健康成长大讲堂[ 08-29 ]










甘公网安备 62010002000586号