兰大二院泌尿外科成功实施两例腹膜后巨大肿瘤手术
近日,兰大二院泌尿外科尚攀峰主任医师在马俊海副主任医师和吴学武主治医师协助下完成2例腹膜后巨大肿瘤切除术。
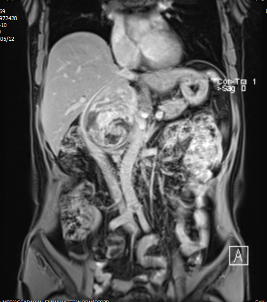
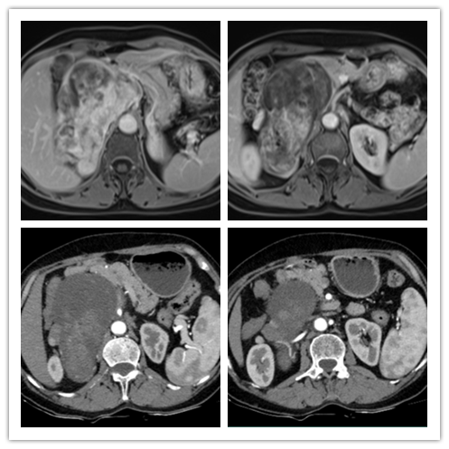
患者一,女性,62岁。因“体检发现右侧肾上腺区占位10余天”入院。入院后完善相关检查及化验,其中RAAS系统化验正常,尿液中香草扁桃酸及游离肾上腺素升高3倍,CT提示右侧肾上腺区混杂密度占位性病变,内可见结节状钙化灶,大小约129*97*98mm,下腔静脉受压向前向外侧偏移,邻近脏器受压改变,增强扫描未见明显不均匀强化。MR显示右侧肾上腺区占位病变,合并囊性变、坏死、出血,多考虑恶性肿瘤性病变,嗜铬细胞瘤恶变多考虑并右肾动静脉、下腔静脉、邻近脏器受压移位,胸部CT及全身骨显像未见明显转移灶,术前诊断为腹膜后肿瘤。泌尿外科在充分做好术前准备后,为患者实施开放腹膜后肿瘤切除术,最终完整切除肿瘤及肾上腺,手术历时约3小时,患者术后恢复良好,术后病检提示嗜铬细胞瘤。


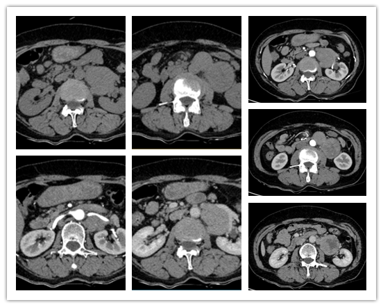
患者二,女性,57岁。因“体检发现左肾门附近占位病变1月余”入院。当地医院CT示左肾门下端占位,考虑巨淋巴细胞增生症,不排除淋巴瘤可能,大小约8.0*4.5*5.5cm,合并左侧附件区阔韧带肌瘤。入院后完善相关检查及化验,RAAS系统及儿茶酚胺类化验未见明显异常。CT显示腹主动脉旁软组织影,密度不均,中央斑片状低密度影,大小约10.1*6.0*5.2cm,呈不均匀中度强化,多考虑后腹膜肉瘤并淋巴结转移,转移瘤不除外。术前经相关检查及专家讨论后,明确诊断为腹膜后肿瘤,遂为患者实施了腹膜后肿瘤切除术。手术历时约3小时,患者术后恢复良好,继续开展进一步治疗。

兰大二院泌尿外科始终以患者为中心,全心全意服务于当地百姓,开拓创新、锐意进取,不断磨炼临床技术,持续更新治疗理念,在此基础上勇于挑战各种疑难杂症手术,为推动全省泌尿外科发展贡献力量。
【科普常识】
腹膜后肿瘤指发生于腹膜后和盆腔内的较为罕见肿瘤,主要包括原发性腹膜后肿瘤,以及由其他部位转移来的继发性腹膜后肿瘤。原发性腹膜后肿瘤临床上较为少见,占恶性肿瘤不及1%。腹膜后肿瘤中恶性肿瘤占80%,最常见为间叶组织来源的肉瘤,预后较差。腹膜后良性肿瘤主要包括脂肪瘤、骨髓瘤、平滑肌瘤、神经鞘瘤、肾上腺外嗜铬细胞瘤及副神经节瘤等。腹膜后肿瘤早期多缺乏特异的临床症状,常因肿瘤压迫肠管引起腹胀不适就诊,此时肿瘤体积已较大。术前评估肿瘤可切除性是极其重要的,手术切除是可切除肿瘤的首选治疗方案。腹膜后肿瘤预后根据病理类型不同,差异较大。术后患者应该每3-6月复查腹部CT,持续2-3年,后每6月复查一次,持续2年,后每年进行一次复查。
相关阅读
- 上一篇:兰大二院护理部开展全国科普日活动[ 09-20 ]
- 下一篇:中国共产党定西市委员会、定西市人民政府向兰大二院致感谢信[ 09-20 ]










甘公网安备 62010002000586号