兰大二院采用多棒序贯矫形技术治疗先天性半椎体畸形
近日,兰大二院骨科二病区成功采用多棒序贯矫形技术治疗一例先天性半椎体畸形,极大改善了患者外观,术后患者恢复良好,身高较手术前增加5厘米。
据悉,这种先天性畸形的矫正是一项操作复杂、技术要求极高的外科技术,一直以来都是脊柱外科领域最具挑战性的难题之一。此次手术的成功实施,标志着兰大二院在脊柱矫形领域的诊疗水平再上新台阶。
今年12岁的小温(化名)自小发现脊柱侧弯畸形,为解决女儿脊柱侧弯的问题,小温的父母从未放弃,他们走访了很多大医院,未能得到满意的结果。得知兰大二院骨科是国家临床重点专科,经多位专家推荐,他们来到兰大二院就诊。
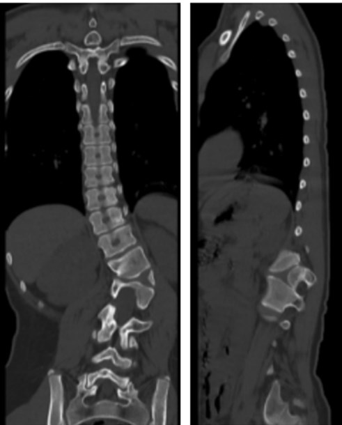
入院后,骨科二病区马延超主任医师诊断该患者胸腰段侧后凸畸形,腰1、腰2椎体形态失常,腰2椎体呈半椎体畸形改变。对于患者的情况,目前国际上公认的治疗方案是通过外科手术,完整切除半椎体,矫正局部畸形,重建脊柱的矢状面与冠状面平衡。
马延超团队结合患者的症状、体查情况、影像学资料,以及脊柱骨盆测量参数,为患者制订出个体化治疗策略和周密的手术方案。在手术置棒矫形过程中,由于局部侧后凸畸形,常规的置棒方式不但置棒困难,而且顶椎区域应力过大易造成矫形棒断裂或者螺钉松动,可能导致矫形丢失,畸形进展,需二次手术翻修。
马延超采用国际上先进的矫形理念,采用半椎体整块切除技术联合多棒序贯矫形技术,短棒负责矫正局部畸形,长棒负责矫正区域畸形和整体平衡,化整为零,分段矫形,不但大大提高了矫形的安全性和有效性,还有效降低了术后并发症,获得满意的临床效果。
先天性半椎体畸形患者,不仅身体外观受影响,对于畸形较为严重的患者,由于脏器受压迫,器官功能受影响,生活质量差,并且随着病情的发展,最终可能面临心肺功能衰竭以及自发瘫痪。马延超主任医师建议脊柱侧弯的患者应尽早发现并及时接受专业治疗。



相关阅读
- 上一篇:【喜讯】兰大二院孟璇教授当选中国超声医学工程学会第七届颅脑及颈部血管…[ 09-20 ]
- 下一篇:兰大二院召开党建工作例会[ 09-23 ]










甘公网安备 62010002000586号