一封感谢信 一份家属敬意——兰大二院神经外科收到感谢信
“特别感谢兰大二院的精心救治,是你们给予我母亲新的生命,你们创造了一个个医学奇迹,医者仁心在兰大二院得到了完美的诠释”。近日,兰大二院收到一封感谢信,信中患者用朴实的语言深深表达了对神经外科的感激之情。
今年已83岁高龄的蔡某,早在2013年就被查出患有前颅底脑膜瘤,瘤体直径约为3公分,因患者年龄偏高且患有基础性疾病,多方就医后采取保守治疗。十年来,老人一直带“瘤”生存,家里人也整天生活在惊恐中,生怕因一时不慎导致老人病情有所波动。今年7月,老人突然出现剧烈头疼、意识紊乱及肢体失控等情况,家人们立即将老人送至兰大二院就诊。

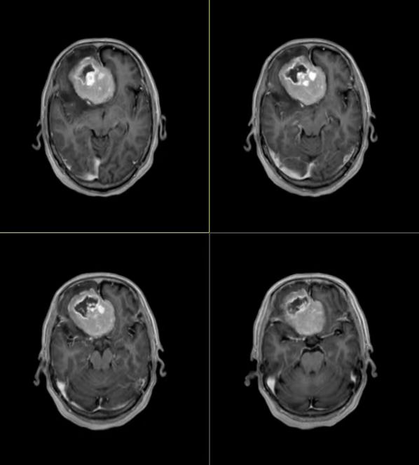
术前影像结果
就诊后,兰大二院副院长、神经外科主任医师潘亚文教授结合患者既往病史及检查检验结果,明确诊断为前颅底脑膜瘤,且右额叶水肿,大脑镰下疝形成。大脑镰下疝如果不及时进行治疗,会导致脑部组织受到压迫,出现颅内压增高的情况,严重时还会导致脑疝进一步加重,出现生命危险。关键时刻,兰大二院立即为患者开通绿色通道,同时潘亚文教授团队经过详细周密的术前讨论,于7月19日为患者实施了颅底肿瘤切除术。
手术由潘亚文教授主刀,副主任医师梁强协助。考虑到患者年迈,手术采用右侧“额外侧微创入路”的方式进行,术中可见肿瘤通体鲜红,质地韧,周边脑组织大片水肿将其包裹。术中,缓慢释放瘤周侧裂里的脑脊液,释放颅内压力,在狭小的操作空间里,阻断肿瘤大部分血供。“拔起萝卜带起土”,整块切除肿瘤必然省劲轻松,但势必会造成脑组织的牵拉损伤加剧,而这对83岁高龄的老人来说,往往难以承受。为了最大可能地挽救生命,降低损伤,潘亚文教授采用了费时费力但无牵拉无损伤的“分块切除”策略,他一边控制出血量,一边小心翼翼地取出肿瘤,直至瘤体切除干净。

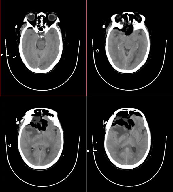
术后影像结果
“还记得晚上10点20分左右,潘院长从手术室出来了,看到院长的腰都快直不起来了,我们真的是特别的感动,后来梁主任出来的时候,连说话的力气都没了,后来我们才知道,当天潘院长和梁主任已经连续做了4台手术,真的是又感激他们又为他们的敬业精神而感动。”提起手术时的场景,患者家属感慨的讲道。
手术后的危险期也是一道难过的关卡,在此期间,神经外科ICU的医护人员也是给予了精准的治疗与精心的护理。因老人年龄较高,术后病情有一定的波动,每当患者家属因此而产生焦虑时,梁强医师总是耐心的安抚他们的情绪,鼓励家属树立信心,不要放弃治疗。在大家的共同努力下,患者身体状况越来越好,经过14天的治疗,成功渡过了危险期。
康复期间,患者仍就诊于神经外科一病区,潘亚文教授及梁强医师每天查看患者病情,详细讲解需要注意的各种事项,更鼓励患者和家属要有战胜疾病的信心。护士长张兰芳及护理人员不仅给予了他们精心的护理,更为患者带来了贴心的关爱。目前,患者已可以下地短暂行走,83岁的老人获得了重生。
人体最复杂、最坚硬、最神秘的部位是哪里,很多人都会回答“大脑”,神经外科医师一直在大脑里挑战极限,他们用无畏和坚毅,带来了医学的奇迹,更带来了生命的延续。一封感谢信,凝聚着浓浓的医患情意,闪耀着兰大二院“一切以患者为中心”的崇高精神和道德情操,这是荣誉更是一种鞭策,将激励更多的二院人为守护人民群众的生命健康作出贡献。

相关阅读
- 上一篇:兰大二院举办心理护理专科护士培训班[ 08-09 ]
- 下一篇:【弘扬伟大科学家精神】研路漫漫持之以恒 锲而不舍金石可镂——记兰州大…[ 08-10 ]










甘公网安备 62010002000586号