【兰大二院对口帮扶在行动】兰大二院帮扶岷县人民医院医疗队完成该院首例颅骨肿瘤切除术
近日,兰大二院帮扶岷县人民医院医疗队完成该院首例颅骨肿瘤切除术,填补了岷县人民医院该项技术的空白。

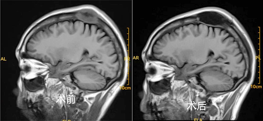
患者男性,50岁,一年前诊断为肺部恶性肿瘤,因头顶部肿物进行性增大并伴头痛13天余再次入院检查。经相关化验并结合CT检查,考虑诊断为肺部恶性肿瘤颅骨转移,手术治疗指征明确,无手术禁忌症。兰大二院帮扶队员梁文涛及岷县人民医院神经外科主任马旭春团队综合评估后决定实施颅骨肿瘤切除术,术后患者生命体征平稳,恢复良好。

同时,兰大二院帮扶队员苏晓路协助完成岷县人民医院病理科首例颅骨转移性肿瘤病理诊断。经患者病变组织镜下所见,更支持肺鳞状细胞癌转移。
今后,兰大二院对口帮扶岷县人民医院医疗队将继续履职尽责,积极开展医疗帮扶工作,提升基层医疗机构诊疗能力和服务水平,更好为百姓健康服务。
【相关阅读】
肺癌脑转移是临床常见且严重的病情,也是肺癌治疗失败的常见原因之一。非小细胞肺癌患者在病程中约有30%左右发生脑转移,小细胞肺癌在作出诊断时约有20%的患者已有脑转移,其中以大细胞未分化癌和腺癌较多见,鳞癌次之。
相关阅读
- 上一篇:【喜讯】兰大二院在2023年甘肃省中医药急救技能大赛中喜获佳绩[ 09-12 ]
- 下一篇:兰大二院“互联网+护理”解患者燃眉之急[ 09-13 ]










甘公网安备 62010002000586号