兰大二院泌尿外科成功完成一例复杂肾癌根治术及下腔静脉癌栓取出术
近日,兰大二院泌尿外科二病区尚攀峰教授团队成功完成一例开放复杂肾癌根治术加下腔静脉癌栓取出术。
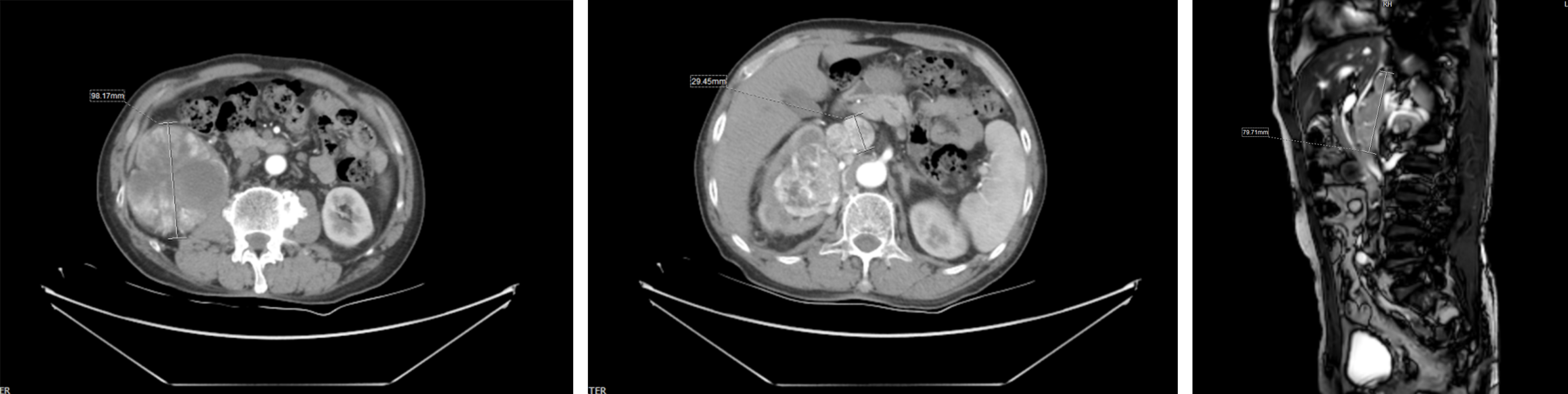
患者为76岁男性,因双下肢水肿半年余入院治疗。入院后完善相关检查,明确诊断为右肾恶性肿瘤、右肾上腺继发转移瘤、腔静脉癌栓、右肾蒂多发淋巴结转移,临床分期为T4N1M0,腔静脉癌栓III级(Mayo分级)。经MDT讨论并综合评估后,拟行手术治疗,尚攀峰教授团队首先在达芬奇机器人辅助腹腔镜下充分游离出肾脏及巨大瘤体,暴露出下腔静脉,为确保手术万无一失,决定中转开放手术,普通外科杨含腾主任医师协助翻肝,游离出肝脏平面下腔静脉段,完整显露出癌栓的上界。随后阻断下腔静脉近远端及其分支,剖开下腔静脉,切除癌栓及粘附的部分血管壁,严密缝合下腔静脉切口,开放血流后无明显渗血。同时,完整切除右侧肾脏肿瘤、淋巴结、肾上腺转移瘤,取出下腔静脉癌栓。经术后精心治疗,患者1周后康复出院。

兰大二院泌尿外科始终致力于疑难复杂疾病的研究及诊疗,此次手术的成功实施充分展现了科室在治疗复杂性肾癌合并下腔静脉癌栓的外科技术已达更高水平。今后,泌尿外科将以“精益求精,一丝不苟”的态度为更多患者提供更加优质的医疗服务。
相关阅读
- 上一篇:兰大二院神经外科开展紧密型医联体工作[ 11-14 ]
- 下一篇:兰大二院羽毛球队在立博欧赔指数第十九届教职工羽毛球赛中喜获佳绩[ 11-15 ]










甘公网安备 62010002000586号