立博指数 - 立博欧赔指数
立博欧赔指数
|
纪委投诉信箱
|
联系我们
|
加入收藏
|
English
搜索
网站首页
医院概览
医院简介
领导团队
医院荣誉
医院文化
图说二院
医院位置
联系我们
科室导览
党政职能部门
临床医学中心
临床、医技科室
科研、研究机构
直属机构单位
第二临床医学院
刘宝厚学术传承工作室
医师介绍
外科系统
麻醉手术科
内科系统
儿童医院
急救中心
肿瘤中心
重症医学科
医技科室
内镜中心
药剂科
健康管理中心
退休专家
就诊指南
最新就诊须知
预约挂号
门诊指南
急诊指南
住院指南
远程会诊
健康体检
检查指南
医保指南
医患沟通
检验检查结果查询
院务信箱
特需门诊
患者自助服务
学科建设
学科平台
学科动态
学科之窗
政策规范
医学教育
师资队伍
本科生教育
研究生教育
教育新闻
住院医师规范化培训
科学研究
科研项目
科研基地
科研成果
科研诚信
下载专区
科研新闻
立博指数
党群部门
学习园地
组织建设
统战工作
纪检监察
职工之家
晚晴风采
青年之声
相关视频
护理园地
护理概况
护理风采
天使剪影
教学科研
护理文化
BPSO专栏
护理专科联盟专栏
RNAO官网
护理科普
后勤之窗
后勤动态
通知公告
健康讲堂
健康视频
专家讲座视频
健康知识
社会公益
义诊通知
公益项目
对外交流
国际合作
海外交流培训
出国指南
医院刊物
医院与医学
院刊
生物医学转化
新闻动态
综合新闻
媒体聚焦
影像二院
通知公告
学术活动
预约挂号
出诊查询
医师介绍
就诊指南
检验检查结果查询
医患沟通
院务信箱
院长信箱
您现在的位置:
首页
> >
综合新闻
综合新闻
兰大二院举办第八届产科热点问题学术研讨会暨2023年全省母婴安全管理暨危重孕产妇救…
[详细]
时间:
2023-11-15
点击:
1363次
甘肃省精神疾病质控中心专家组赴临夏州开展精神疾病质量控制督导工作
[详细]
时间:
2023-11-15
点击:
1374次
兰大二院羽毛球队在立博欧赔指数第十九届教职工羽毛球赛中喜获佳绩
[详细]
时间:
2023-11-15
点击:
1428次
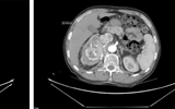
兰大二院泌尿外科成功完成一例复杂肾癌根治术及下腔静脉癌栓取出术
[详细]
时间:
2023-11-15
点击:
1650次
兰大二院神经外科开展紧密型医联体工作
[详细]
时间:
2023-11-14
点击:
1508次
兰大二院甘肃省儿童医院开展“红色凝聚力量,榜样引领成长”主题党日活动暨河州行义…
[详细]
时间:
2023-11-14
点击:
1364次
甘肃省第二届儿童青少年近视防控宣讲团开展集中备课
[详细]
时间:
2023-11-13
点击:
1430次
【萃英医联•走基层系列活动二十二】——兰大二院多学科专家团队开展基层帮扶活动(…
[详细]
时间:
2023-11-13
点击:
1448次
了解风险,了解应对——兰大二院2023年世糖日大型义诊宣教活动
[详细]
时间:
2023-11-10
点击:
1342次
加拿大白求恩医学发展协会专家代表与兰大二院心脏外科开展学术交流活动
[详细]
时间:
2023-11-10
点击:
1724次
首页
上一页
125
126
127
128
129
130
131
下一页
尾页
共9046篇文章/共905页